一图一世界,细胞会说话。
常看常新,观图悟道。
.....................................................................................
摄影:李铁军 撰文:彭志翔

日出
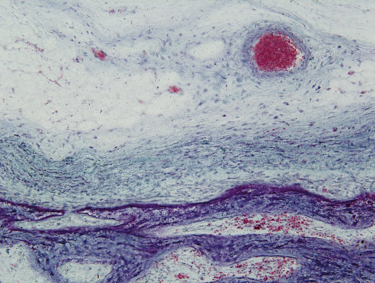
骨髓组织切片,×200,明视野,2012
上帝说:要有光,于是就有了光。
而你在光学显微镜之下,发现了一个关于光的隐喻。
没有比这更奇妙的隐喻了:一轮喷薄而出的太阳,竟然是一根血管的横断面,那向你奔涌而来的红色,不是太阳光子,而是一粒粒的红细胞。用了象征生命的血,来隐喻给予一切生命的太阳。是不是很神奇?看来,古人用血祭来表达太阳崇拜,野蛮之中竟然暗含了对生命之源的朴素认知。
看见那些在起伏如山峦的骨组织间,洒落一地的红细胞吗?残阳如血,层林尽染,我们人类的内在生命景观,与大自然景色何其相似。
在我们这个蓝色星球上,几乎所有生命的初乳,都来自那颗叫太阳的遥远恒星。阳光的流瀑,驱动了地球植物中,叫做叶绿素的一架古老水车,水分子被光解了,在不断传递电子流的过程中,光能转化为电能,最终转变为稳定的化学能,同时也产生了氧气。我们就是靠摄入碳水化合物中的化学能,吸入空气中的氧气维持生命的。
所以,太阳,你这地球生命的供能者,为了向你感恩,每一个生命都在身体内秘密刻下了赞美你的图腾。
这一幅摄影,在打开我们内在身体的同时,揭示了关于这个图腾的秘密。
摘自《显微镜下:生命的奥秘与遐想》